Qarğalar bizə qara görünür, lakin onların lələkləri yaşla dəyişən gizli vizual kod ehtiva edir.

Milli səviyyədə maliyyələşdirilən səhiyyə tədqiqatlarının yarıdan azı nəticələri cinsə görə bölür ki, bu da məlumatların əldən verilməsinə səbəb ola bilər.

Araşdırmalar göstərir ki, uşaqlar artıq formalaşmış iki mürəkkəb idrak funksiyası ilə doğula bilərlər

Cəmi dörd nanometr qalınlığında olan bu metal fiziklərin gözləmədiyi bir şəkildə davranmağa başlayır.

Xüsusi hazırlanmış material, zərərli yan məhsullar olmadan PFAS-ı sudan çıxarmaq üçün işıq və elektrik enerjisini birləşdirir

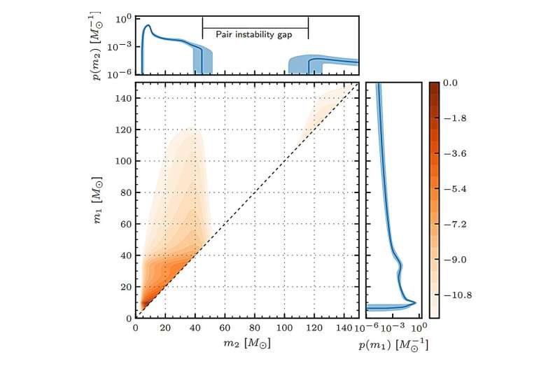
Ulduzlar ölməzdən əvvəl niyə aşağı və ya yuxarı fırlanırlar

O, Vezuvidən sikkələr, lampa və minaatanla qaçdı və indi süni intellekt son hekayəsini ortaya qoyur

Ördəkburun daha ekzotik mənşəli hekayəsi ortaya çıxır, çünki bu daha böyük üzgüçü qədim Avstraliya göllərini delfinlərin yanında idarə edirdi

Yuxularınız gününüzü təkrarlamaqdan daha çox şey edir və bu araşdırma bunun səbəbini göstərir

Qaranlıq qalaktikalar nədir? Astronomlar görünən ulduzları olmayan 70 gizli qalaktika namizədini ifşa etdilər

Yeni bir alqoritm, xəbərdarlıq əlamətləri aşkarlanmadan əvvəl özünə zərər verə biləcək şəxsləri müəyyən edə bilər.

Hərəkət gücləndirilmiş sensor, piksel miniatürləşdirmə çətinliyini aradan qaldıraraq ultra yüksək qətnaməli şəkillər çəkir

Əhali üzərində aparılan araşdırma göstərir ki, II dərəcəli bipolyar pozğunluğu olan insanlarda erkən ölüm riski 60% daha yüksəkdir

V

Elmi təşkilatlar , alimlər, ixtiraçılar və rasionalizatorların təbliğatı istiqamətində fəaliyyət

Biz kimik?

Biz elmi və ictimai-sosial faydalı təşəbbüsləri təşviq etməklə məşğuluq:

EFİR TV

Trailer

Müsahibələr

#Müsahibələr

Anna Kramvis – Kiçik bir dünyada böyük bir iş

#Müsahibələr #Sağlamlıq #Xəbərlər

Kontraseptiv həblər qadınların beynində qorxu tənzimləyən bölgələri poza bilər

#İnnovativ texnologiyalar #Müsahibələr #Robototexnika və AI #Xəbərlər

“Mənim xəyalım süni intellekt və beyin orqanoidlərinin bir-birinin imkanlarını araşdırmasıdır”

#Müsahibələr #Xəbərlər

“Sağlamlığı əlillik və xəstəlikdən kənarda yenidən düşünmək”

#Müsahibələr #Xəbərlər

“Bu yanlış stereotipləri geri qaytarmağa çalışın” – Professor Sarah Garfinkel və Dr Lisa Quadt ilə müsahibə #WomeninScience

#Müsahibələr #Uncategorized #Xəbərlər

Ph.D. neyrodivergent olduğumu öyrəndim və inkişaf etməyin yollarını tapdım-müsahibə

#Araşdırmalar və Tədqiqatlar #Müsahibələr #Xəbərlər

Divarsız şəhər: Binalar, enerji, psixologiya üst-üstə düşür, tədqiqatçı deyir

#Müsahibələr #Xəbərlər

Azərbaycanda müasir gənclik, problemləri və çıxış yolları

#Müsahibələr #Sağlamlıq #Xəbərlər

Kontraseptiv həblər qadınların beynində qorxu tənzimləyən bölgələri poza bilər

#İnnovativ texnologiyalar #Müsahibələr #Robototexnika və AI #Xəbərlər

“Mənim xəyalım süni intellekt və beyin orqanoidlərinin bir-birinin imkanlarını araşdırmasıdır”

Axtar

ABUNƏ OL

Subscription Form

Axtar

ABUNƏ OL

Subscription Form

Verlişlərimiz@efirtv

Komandamız

Şamo Salayev

Təsisçi və rəhbər

Sədaqət İsmayılova

Dizayner&redaktor Redaktor

Məlahət Həsənova

Dizayner&Redaktor

Allahverdi Məmmədov

Proqramçı mühəndis

Asim Məmmədov

Jurnalist