Sinir fəaliyyəti dövrə əlaqələrinin optimal siqnal ötürücülərinə çevrilməsinə kömək edir

Massaçusets Texnologiya İnstitutu tərəfindən
Stefani Baum tərəfindən redaktə edilmiş , Robert Eqan tərəfindən nəzərdən keçirilmişdir
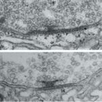
Redaktorların qeydləriKağızdakı rəqəmin təfərrüatı neyron (yuxarıda) və əzələ (aşağıda) dar yarıq arasında əmələ gələn sinapsları göstərir. Fərqli T-bar forması aktiv zonanı göstərir. Yuxarıdakı şəkildə sinaps normal inkişaf etmişdir. Aşağıdakı şəkildə tədqiqatçılar sinapsın fəaliyyətini pozublar. Nəticədə aktiv zona xeyli böyüdü (hər iki şəkil eyni miqyasdadır). Kredit: Yulia Akbergenova / Littleton Laboratoriyası / MIT Picower İnstitutu
Sinir sisteminin funksiyaları, hərəkətdən qavrayışa qədər, neyron dövrə əlaqələrinin (sinapsların) aktiv zonalarından, lazımi miqdarda kimyəvi siqnalları lazımi vaxtlarda göndərməkdən asılıdır. MİT-in Picower Öyrənmə və Yaddaş İnstitutunun tədqiqatçıları sinaptik aktiv zonaların meyvə milçəklərində necə əmələ gəldiyini və yetkinləşdiyini izləməklə, inkişaf zamanı sinir fəaliyyətinin düzgün işləyən əlaqələri necə qurduğuna dair fundamental model aşkar ediblər.
https://googleads.g.doubleclick.net/pagead/ads?gdpr=0&us_privacy=1—&gpp_sid=-1&client=ca-pub-0536483524803400&output=html&h=280&slotname=7587637799&adk=173579997&adf=4198688998&pi=t.ma~as.7587637799&w=540&fwrn=4&fwrnh=0&lmt=1760519020&rafmt=1&armr=3&format=540×280&url=https%3A%2F%2Fmedicalxpress.com%2Fnews%2F2025-10-neural-circuit-mature-optimal-transmitters.html&fwr=0&rpe=1&resp_fmts=3&wgl=1&aieuf=1&uach=WyJXaW5kb3dzIiwiMTkuMC4wIiwieDg2IiwiIiwiMTQxLjAuNzM5MC43NiIsbnVsbCwwLG51bGwsIjY0IixbWyJHb29nbGUgQ2hyb21lIiwiMTQxLjAuNzM5MC43NiJdLFsiTm90P0FfQnJhbmQiLCI4LjAuMC4wIl0sWyJDaHJvbWl1bSIsIjE0MS4wLjczOTAuNzYiXV0sMF0.&abgtt=6&dt=1760519017431&bpp=2&bdt=629&idt=410&shv=r20251009&mjsv=m202510090101&ptt=9&saldr=aa&abxe=1&cookie=ID%3Dbf32f6d1345076e5%3AT%3D1735905671%3ART%3D1760518961%3AS%3DALNI_MZkf89jy5OWC7eurAieiZICGZibxQ&gpic=UID%3D00000f9074cd1467%3AT%3D1735905671%3ART%3D1760518961%3AS%3DALNI_MbXA7UjcCbicksfQOQL3jad5e72cw&eo_id_str=ID%3D11f3f8901ed8a01f%3AT%3D1759147287%3ART%3D1760518961%3AS%3DAA-AfjaTZmixph3AhAi9NchqfV-P&prev_fmts=0x0%2C336x280&nras=1&correlator=5881012823763&frm=20&pv=1&rplot=4&u_tz=240&u_his=1&u_h=864&u_w=1536&u_ah=816&u_aw=1536&u_cd=24&u_sd=1.25&dmc=8&adx=395&ady=1073&biw=1521&bih=730&scr_x=0&scr_y=0&eid=31093848%2C31095210%2C31095218%2C95372730%2C95373012%2C95374042%2C95374741%2C31061690&oid=2&pvsid=3272925219101961&tmod=1443205217&uas=0&nvt=1&ref=https%3A%2F%2Fphys.org%2F&fc=1920&brdim=0%2C0%2C0%2C0%2C1536%2C0%2C1536%2C816%2C1536%2C730&vis=1&rsz=%7C%7CpeEbr%7C&abl=CS&pfx=0&fu=128&bc=31&bz=1&td=1&tdf=2&psd=W251bGwsbnVsbCxudWxsLDNd&nt=1&ifi=2&uci=a!2&btvi=1&fsb=1&dtd=3215
Bunun necə baş verdiyini başa düşmək təkcə sinir sistemlərinin necə inkişaf etdiyinə dair fundamental bilikləri inkişaf etdirmək üçün deyil, həm də epilepsiya, autizm və ya əqli qüsur kimi bir çox pozğunluqların sinaptik ötürülmə aberrasiyalarından yarana biləcəyi üçün vacibdir , baş müəllif Troy Littleton, Picower İnstitutunun Menicon professoru və MIT-nin Biologiya Departamentinin dediyinə görə.
Yeni tapıntılar aktiv zonaların nörotransmitterləri sinapslar vasitəsilə dövrə hədəflərinə göndərmək qabiliyyətini necə inkişaf etdirdiyinə dair fikirlər verir. Tədqiqat göstərir ki, bu ani və ya əvvəlcədən təyin edilmiş deyil. Tam yetişməsi günlər çəkə bilər və bu, sinir fəaliyyəti ilə tənzimlənir.
Littleton dedi ki, elm adamları prosesi tam başa düşə bilsələr, xəstəlikdə çox və ya çox az olduqda sinaptik ötürülməyə müdaxilə etmək üçün molekulyar strategiyalar hazırlaya bilərlər.
“Biz sinapsları daha güclü və ya zəif etmək üçün itələmək üçün rıçaqlara sahib olmaq istərdik, bu, şübhəsizdir” dedi Littleton. “Və beləliklə, məhsulu potensial olaraq dəyişdirmək üçün istifadə edə biləcəyimiz bütün rıçaqları bilmək maraqlı olardı.”
Littleton Laboratoriyasının tədqiqatçı alimi Yuliya Akbergenova The Journal of Neuroscience jurnalında dərc olunan araşdırmaya rəhbərlik edib .
https://googleads.g.doubleclick.net/pagead/ads?gdpr=0&us_privacy=1—&gpp_sid=-1&client=ca-pub-0536483524803400&output=html&h=280&slotname=7099578867&adk=16758827&adf=1100001614&pi=t.ma~as.7099578867&w=540&fwrn=4&fwrnh=0&lmt=1760519020&rafmt=1&armr=3&format=540×280&url=https%3A%2F%2Fmedicalxpress.com%2Fnews%2F2025-10-neural-circuit-mature-optimal-transmitters.html&fwr=0&rpe=1&resp_fmts=3&wgl=1&aieuf=1&uach=WyJXaW5kb3dzIiwiMTkuMC4wIiwieDg2IiwiIiwiMTQxLjAuNzM5MC43NiIsbnVsbCwwLG51bGwsIjY0IixbWyJHb29nbGUgQ2hyb21lIiwiMTQxLjAuNzM5MC43NiJdLFsiTm90P0FfQnJhbmQiLCI4LjAuMC4wIl0sWyJDaHJvbWl1bSIsIjE0MS4wLjczOTAuNzYiXV0sMF0.&abgtt=6&dt=1760519017433&bpp=2&bdt=631&idt=411&shv=r20251009&mjsv=m202510090101&ptt=9&saldr=aa&abxe=1&cookie=ID%3Dbf32f6d1345076e5%3AT%3D1735905671%3ART%3D1760518961%3AS%3DALNI_MZkf89jy5OWC7eurAieiZICGZibxQ&gpic=UID%3D00000f9074cd1467%3AT%3D1735905671%3ART%3D1760518961%3AS%3DALNI_MbXA7UjcCbicksfQOQL3jad5e72cw&eo_id_str=ID%3D11f3f8901ed8a01f%3AT%3D1759147287%3ART%3D1760518961%3AS%3DAA-AfjaTZmixph3AhAi9NchqfV-P&prev_fmts=0x0%2C336x280%2C540x280&nras=1&correlator=5881012823763&frm=20&pv=1&rplot=4&u_tz=240&u_his=1&u_h=864&u_w=1536&u_ah=816&u_aw=1536&u_cd=24&u_sd=1.25&dmc=8&adx=395&ady=2126&biw=1521&bih=730&scr_x=0&scr_y=0&eid=31093848%2C31095210%2C31095218%2C95372730%2C95373012%2C95374042%2C95374741%2C31061690&oid=2&pvsid=3272925219101961&tmod=1443205217&uas=0&nvt=1&ref=https%3A%2F%2Fphys.org%2F&fc=1920&brdim=0%2C0%2C0%2C0%2C1536%2C0%2C1536%2C816%2C1536%2C730&vis=1&rsz=%7C%7CpeEbr%7C&abl=CS&pfx=0&fu=128&bc=31&bz=1&td=1&tdf=2&psd=W251bGwsbnVsbCxudWxsLDNd&nt=1&ifi=3&uci=a!3&btvi=2&fsb=1&dtd=3225
Yeni doğulmuş sinapslar necə böyüyür
Tədqiqat zamanı tədqiqatçılar milçək sürfələrindəki əzələləri idarə etmək üçün sinapslar arasında neyrotransmitter glutamat göndərən neyronları araşdırdılar. Heyvanlardakı aktiv zonaların necə yetkinləşdiyini öyrənmək üçün alimlər onların yaşını izləməli idilər. Əvvəllər bu mümkün deyildi, lakin Akbergenova 15 saniyəlik ultrabənövşəyi işığın təsiriylə parıltısını yaşıldan qırmızıya dəyişən flüoresan zülalı mMaple-ni sinapsın qəbul edən tərəfindəki qlutamat reseptorlarının tərkib hissəsinə çevirərək maneəni aşdı.
Sonra o, nə vaxt istəsə, işıq saça bilərdi və o vaxta qədər əmələ gələn bütün sinapslar qırmızı, sonradan əmələ gələn hər hansı yeniləri isə yaşıl rəngdə parlayardı.
Hər bir aktiv zonanın doğum gününü izləmək imkanı ilə müəlliflər daha sonra aktiv zonaların doğumdan sonrakı günlər ərzində məhsuldarlığı artırmaq qabiliyyətini necə inkişaf etdirdiklərini sənədləşdirə bildilər. Tədqiqatçılar, aktiv zonanı təşkil edən səkkiz növ zülalın hər birinin işarələnməsi ilə bir neçə saat ərzində sinapsların necə qurulduğunu müşahidə etdilər.
Əvvəlcə aktiv zonalar heç nə ötürə bilmədi. Sonra, bəzi vacib erkən zülallar yığıldıqca, onlar qlutamatı kortəbii şəkildə göndərə bilərdilər, lakin onların ev sahibi neyronunun elektrik stimullaşdırılması ilə (həmin neyronun dövrədə təbii olaraq necə siqnal verilə biləcəyini təqlid etməklə) deyil. Yalnız bir neçə daha zülal gəldikdən sonra aktiv zonalar kalsium ionları üçün yetkin bir quruluşa sahib oldular ki, sinaps boyunca qlutamat veziküllərinin hüceyrə membranına birləşməsini stimullaşdırdılar.
Fəaliyyət vacibdir
Təbii ki, tikinti əbədi davam etmir. Bir nöqtədə milçək sürfəsi bir sinaps qurmağı dayandırır və daha sonra neyron akson böyüyən əzələlərə uyğunlaşmaq üçün genişləndikcə yenilərini qurur. Tədqiqatçılar sinir fəaliyyətinin bir aktiv zonanı bitirmək və digərini qurmaq üçün hərəkətə keçmə prosesində rolu olub-olmadığını maraqlandırdılar.
Bunu öyrənmək üçün onlar aktiv zonaların glutamatın sərbəst buraxılmasını maneə törətmək üçün iki fərqli müdaxilə tətbiq etdilər və bununla da sinaptik fəaliyyətin qarşısını aldılar. Qeyd edək ki, onların seçdiyi üsullardan biri Sinaptotagmin 1 adlı zülalın fəaliyyətini bloklamaq idi. Bu, vacibdir, çünki insanlarda zülalı pozan mutasiyalar ağır əqli qüsur və autizmlə əlaqələndirilir. Üstəlik, tədqiqatçılar aktivliyi bloklayan müdaxilələri hər larvada yalnız bir neyron üçün uyğunlaşdırdılar, çünki onların bütün neyronlarında bloklanan fəaliyyət ölümcül olardı.
Tədqiqatçıların fəaliyyətini maneə törətdiyi neyronlarda iki nəticə müşahidə etdilər: Neyronlar yeni aktiv zonalar yaratmağı dayandırdılar və bunun əvəzinə mövcud aktiv zonaları daha da böyütməyə davam etdilər . Sanki neyron aktiv zonanın qlutamat ifraz etmədiyini deyə bilirdi və ona işləmək üçün daha çox protein materialı verərək onu işlətməyə çalışırdı. Bu səy yeni aktiv zonalarda tikintiyə başlamaq hesabına başa gəldi.
“Düşünürəm ki, onun etməyə çalışdığı şey fəaliyyət itkisini kompensasiya etməkdir” dedi Littleton.
https://googleads.g.doubleclick.net/pagead/ads?gdpr=0&us_privacy=1—&gpp_sid=-1&client=ca-pub-0536483524803400&output=html&h=280&slotname=7099578867&adk=16758827&adf=2636419947&pi=t.ma~as.7099578867&w=540&fwrn=4&fwrnh=0&lmt=1760519026&rafmt=1&armr=3&format=540×280&url=https%3A%2F%2Fmedicalxpress.com%2Fnews%2F2025-10-neural-circuit-mature-optimal-transmitters.html&fwr=0&rpe=1&resp_fmts=3&wgl=1&aieuf=1&uach=WyJXaW5kb3dzIiwiMTkuMC4wIiwieDg2IiwiIiwiMTQxLjAuNzM5MC43NiIsbnVsbCwwLG51bGwsIjY0IixbWyJHb29nbGUgQ2hyb21lIiwiMTQxLjAuNzM5MC43NiJdLFsiTm90P0FfQnJhbmQiLCI4LjAuMC4wIl0sWyJDaHJvbWl1bSIsIjE0MS4wLjczOTAuNzYiXV0sMF0.&abgtt=6&dt=1760519017435&bpp=2&bdt=633&idt=414&shv=r20251009&mjsv=m202510090101&ptt=9&saldr=aa&abxe=1&cookie=ID%3Dbf32f6d1345076e5%3AT%3D1735905671%3ART%3D1760518961%3AS%3DALNI_MZkf89jy5OWC7eurAieiZICGZibxQ&gpic=UID%3D00000f9074cd1467%3AT%3D1735905671%3ART%3D1760518961%3AS%3DALNI_MbXA7UjcCbicksfQOQL3jad5e72cw&eo_id_str=ID%3D11f3f8901ed8a01f%3AT%3D1759147287%3ART%3D1760518961%3AS%3DAA-AfjaTZmixph3AhAi9NchqfV-P&prev_fmts=0x0%2C336x280%2C540x280%2C540x280%2C336x280&nras=1&correlator=5881012823763&frm=20&pv=1&rplot=4&u_tz=240&u_his=1&u_h=864&u_w=1536&u_ah=816&u_aw=1536&u_cd=24&u_sd=1.25&dmc=8&adx=395&ady=4225&biw=1521&bih=730&scr_x=0&scr_y=1341&eid=31093848%2C31095210%2C31095218%2C95372730%2C95373012%2C95374042%2C95374741%2C31061690&oid=2&psts=AOrYGslTYwmxA2OMc4NxZQeHy7HhB__UMx1BBLb3MnqgQIBMq1s7mLw-YeSK9WHgqqtifTdZ2f8nH6O2FBr9QBKT5EjWEnyIDocAYsFa_w%2CAOrYGskbfTVtcuI5aJEDvgEn78BehR53OAEc8i-vOJoHwSMyLlMMzF9_eNXyXAZczF-UXPWh9G0YR1FXjNSLUeDqmfp5MiTCvyJIWTqn00b_-_7D-Q%2CAOrYGskvhAzbmMm5PWUj9Zd6ynn5iUrViwB-mbvak7XlRpSztDF73AH5gqKvMx0pqDgUh9roXWphjuoAf0ETP59a3kTG5ZJtJo5Vynk1jg%2CAOrYGsm_RSfBRZ19AkGPF-EuKuiXPGRboOymTgxX3CTriP5ceCZeH1zgsnN4x3kXzTWO99lA3WZjlQ4n0PyrjYM6_X1OjrTN7VQdg5H-ffc&pvsid=3272925219101961&tmod=1443205217&uas=3&nvt=1&ref=https%3A%2F%2Fphys.org%2F&fc=1920&brdim=0%2C0%2C0%2C0%2C1536%2C0%2C1536%2C816%2C1536%2C730&vis=1&rsz=%7C%7CpeEbr%7C&abl=CS&pfx=0&fu=128&bc=31&bz=1&td=1&tdf=2&psd=W251bGwsbnVsbCxudWxsLDNd&nt=1&ifi=4&uci=a!4&btvi=4&fsb=1&dtd=8685
Testlər göstərdi ki, neyronların fəaliyyətini bərpa etmək ümidi ilə qurduğu genişlənmiş aktiv zonalar funksional idi (yaxud tədqiqatçılar onları süni şəkildə bloklamasaydılar). Bu, neyronun glutamatın sərbəst buraxılmadığını hiss etməsinin, sinapsın əzələ tərəfdən bir əks əlaqə siqnalı olduğunu göstərir. Bunu yoxlamaq üçün elm adamları əzələdəki qlutamat reseptor komponentini sıradan çıxardılar və bunu etdikdə neyronların artıq aktiv zonalarını böyütmədiyini gördülər.
Littleton, laboratoriyanın artıq kəşflərin doğurduğu yeni sualları araşdırdığını söylədi. Xüsusilə, ilk növbədə sinaps meydana gəlməsini başlatan molekulyar yollar hansılardır və aktiv zonanın böyüməsini bitirdiyini bildirən siqnallar hansılardır? Bu cavabların tapılması tədqiqatçıları sinaptik aktiv zonalar düzgün inkişaf etmədikdə necə müdaxilə edəcəyini anlamağa yaxınlaşdıracaq.
Littleton və Akbergenova ilə yanaşı, qəzetin digər müəllifləri Jessica Matthias və Sofya Makeyevadır.
Daha çox məlumat: Yulia Akbergenova və digərləri, Aktiv zonanın yetişməsi presinaptik çıxış və sərbəst buraxılma rejiminə nəzarət edir və neyronal fəaliyyətlə tənzimlənir, The Journal of Neuroscience (2025). DOI: 10.1523/JNEUROSCI.1143-25.2025 . www.jneurosci.org/content/earl … EUROSCI.1143-25.2025
Jurnal məlumatı: Neuroscience jurnalı Massaçusets Texnologiya İnstitutu tərəfindən təmin edilmişdir














