Roundworm tədqiqatı beyin yaşlandıqca neyron-glia əlaqəsinə vasitəçilik edə biləcək zülalları müəyyən edir

Ingrid Fadelli , Phys.org
Sadie Harley tərəfindən redaktə edilmiş , Robert Eqan tərəfindən nəzərdən keçirilmişdir
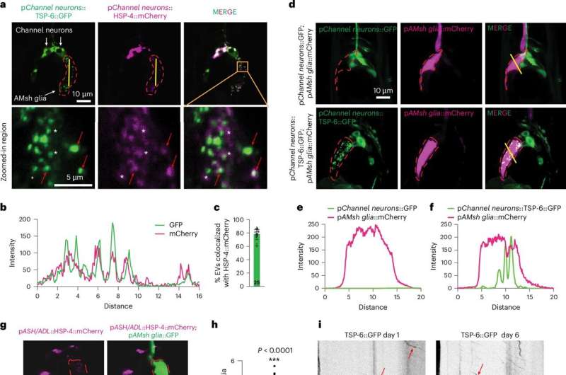
Redaktorların qeydləriNeyron istilik şoku zülalları (HSP) hüceyrədənkənar veziküllər (EV) vasitəsilə glial hüceyrələrə ötürülür. TSP-6::GFP, EV markeri, neyronlarda ifadə edilir. Kredit: Wu et al.
İnsan beyni neyronlar və glia kimi tanınan iki əsas hüceyrə növündən ibarətdir. Birincisi elektrik və kimyəvi siqnalların ötürülməsindən məsuldur, ikincisi isə neyronları dəstəkləyir və qoruyur.
https://googleads.g.doubleclick.net/pagead/ads?gdpr=0&us_privacy=1—&gpp_sid=-1&client=ca-pub-0536483524803400&output=html&h=280&slotname=7587637799&adk=1434173251&adf=4198688998&pi=t.ma~as.7587637799&w=750&abgtt=6&fwrn=4&fwrnh=0&lmt=1752047493&rafmt=1&armr=3&format=750×280&url=https%3A%2F%2Fmedicalxpress.com%2Fnews%2F2025-07-roundworm-proteins-neuron-glia-communication.html&fwr=0&rpe=1&resp_fmts=3&wgl=1&uach=WyJXaW5kb3dzIiwiMTkuMC4wIiwieDg2IiwiIiwiMTM4LjAuNzIwNC45NyIsbnVsbCwwLG51bGwsIjY0IixbWyJOb3QpQTtCcmFuZCIsIjguMC4wLjAiXSxbIkNocm9taXVtIiwiMTM4LjAuNzIwNC45NyJdLFsiR29vZ2xlIENocm9tZSIsIjEzOC4wLjcyMDQuOTciXV0sMF0.&dt=1752047493160&bpp=1&bdt=144&idt=117&shv=r20250702&mjsv=m202507070101&ptt=9&saldr=aa&abxe=1&cookie=ID%3De77740426f8da9bc%3AT%3D1735295852%3ART%3D1752046603%3AS%3DALNI_MbHbvhLj3WydQ3lYshQhNgDg8E9nQ&gpic=UID%3D00000f80ad9e2337%3AT%3D1735295852%3ART%3D1752046603%3AS%3DALNI_MYM9zSDwUrvOLsQ-H1E20L0IjGeMw&eo_id_str=ID%3Df152d1a4517561f1%3AT%3D1751526315%3ART%3D1752046603%3AS%3DAA-AfjYXsAMYxawkCSjU_EMOR4gg&prev_fmts=0x0&nras=1&correlator=2978153772883&frm=20&pv=1&rplot=4&u_tz=240&u_his=1&u_h=1080&u_w=1920&u_ah=1032&u_aw=1920&u_cd=24&u_sd=1&dmc=8&adx=448&ady=1139&biw=1905&bih=945&scr_x=0&scr_y=0&eid=95353387%2C95362655%2C95364946%2C95365225%2C95365234%2C31093335%2C95365108%2C95359266%2C95365121%2C95365798%2C31093116&oid=2&pvsid=6380406875023020&tmod=1882389039&uas=0&nvt=1&ref=https%3A%2F%2Fphys.org%2F&fc=1920&brdim=0%2C0%2C0%2C0%2C1920%2C0%2C1920%2C1032%2C1920%2C945&vis=2&rsz=%7C%7CpeEbr%7C&abl=CS&pfx=0&fu=128&bc=31&bz=1&td=1&tdf=2&psd=W251bGwsbnVsbCxudWxsLDNd&nt=1&ifi=2&uci=a!2&btvi=1&fsb=1&dtd=293
Neyronlar və glia arasındakı əlaqə beynin inkişafı və funksiyalarının saxlanmasında mərkəzi rol oynayır . Keçmiş tapıntılar göstərir ki, bu əlaqə liqandların (yəni, siqnal molekulları) hüceyrənin səthindəki xüsusi zülallara və ya reseptorlara bağlanması vasitəsilə baş verir.
Duke Universitetinin Tibb Mərkəzinin tədqiqatçıları, adətən yuvarlaq qurdlar kimi tanınan Caenorhabditis elegans (C. elegans) xəstəliyini tədqiq edərək, qocalma zamanı neyron-glia əlaqəsinə vasitəçilik edə biləcək yeni mexanizm təqdim etdilər.
Onların Nature Neuroscience jurnalında dərc olunmuş tapıntıları göstərir ki, istilik şoku zülalları (yəni, hüceyrələri stressdən qorumaqda rol oynayan zülallar) qurdlar yaşlandıqca siqnal molekulları rolunu oynaya və neyronlar və qlia arasında əlaqəyə vasitəçilik edə bilər.
“Beyin ilk növbədə neyronlardan və glial hüceyrələrdən ibarətdir ” dedi məqalənin ilk müəllifi Jieyu Wu Medical Xpress-ə.
“Bəzi beyin bölgələrində hüceyrələrin yarıdan çoxu qlial hüceyrələrdir. Çoxsaylı tədqiqatlar göstərdi ki, neyron-glia qarşılıqlı əlaqəsi beynin inkişafı və funksiyasında mühüm rol oynayır. Bu, mühüm bir sual doğurur: neyron-glia əlaqəsi beynin qocalmasında necə iştirak edir?”
https://googleads.g.doubleclick.net/pagead/ads?gdpr=0&us_privacy=1—&gpp_sid=-1&client=ca-pub-0536483524803400&output=html&h=280&slotname=7099578867&adk=1328126233&adf=1100001614&pi=t.ma~as.7099578867&w=750&abgtt=6&fwrn=4&fwrnh=0&lmt=1752047493&rafmt=1&armr=3&format=750×280&url=https%3A%2F%2Fmedicalxpress.com%2Fnews%2F2025-07-roundworm-proteins-neuron-glia-communication.html&fwr=0&rpe=1&resp_fmts=3&wgl=1&uach=WyJXaW5kb3dzIiwiMTkuMC4wIiwieDg2IiwiIiwiMTM4LjAuNzIwNC45NyIsbnVsbCwwLG51bGwsIjY0IixbWyJOb3QpQTtCcmFuZCIsIjguMC4wLjAiXSxbIkNocm9taXVtIiwiMTM4LjAuNzIwNC45NyJdLFsiR29vZ2xlIENocm9tZSIsIjEzOC4wLjcyMDQuOTciXV0sMF0.&dt=1752047493160&bpp=1&bdt=145&idt=127&shv=r20250702&mjsv=m202507070101&ptt=9&saldr=aa&abxe=1&cookie=ID%3De77740426f8da9bc%3AT%3D1735295852%3ART%3D1752046603%3AS%3DALNI_MbHbvhLj3WydQ3lYshQhNgDg8E9nQ&gpic=UID%3D00000f80ad9e2337%3AT%3D1735295852%3ART%3D1752046603%3AS%3DALNI_MYM9zSDwUrvOLsQ-H1E20L0IjGeMw&eo_id_str=ID%3Df152d1a4517561f1%3AT%3D1751526315%3ART%3D1752046603%3AS%3DAA-AfjYXsAMYxawkCSjU_EMOR4gg&prev_fmts=0x0%2C750x280&nras=1&correlator=2978153772883&frm=20&pv=1&rplot=4&u_tz=240&u_his=1&u_h=1080&u_w=1920&u_ah=1032&u_aw=1920&u_cd=24&u_sd=1&dmc=8&adx=448&ady=2063&biw=1905&bih=945&scr_x=0&scr_y=0&eid=95353387%2C95362655%2C95364946%2C95365225%2C95365234%2C31093335%2C95365108%2C95359266%2C95365121%2C95365798%2C31093116&oid=2&pvsid=6380406875023020&tmod=1882389039&uas=0&nvt=1&ref=https%3A%2F%2Fphys.org%2F&fc=1920&brdim=0%2C0%2C0%2C0%2C1920%2C0%2C1920%2C1032%2C1920%2C945&vis=2&rsz=%7C%7CpeEbr%7C&abl=CS&pfx=0&fu=128&bc=31&bz=1&td=1&tdf=2&psd=W251bGwsbnVsbCxudWxsLDNd&nt=1&ifi=3&uci=a!3&btvi=2&fsb=1&dtd=294
Canlı orqanizmlərdə neyron-glia əlaqəsini öyrənmək, qismən laboratoriyada araşdırması asan olan, lakin insanlarda müşahidə edilən bəzi mexanizmləri əks etdirən heyvan modellərinin olmaması səbəbindən indiyə qədər çətin olmuşdur.
C. elegans-ın qocalma proseslərini öyrənmək üçün xüsusilə təsirli bir model olduğu aşkar edildi, buna görə də Wu və onun həmkarları təcrübələri üçün onu seçməyə qərar verdilər.
“C. elegansın bütün sinir sistemini araşdırdıqdan sonra biz amfida hissiyyat orqanını in vivo yaşlanma zamanı neyron-glia əlaqəsini araşdırmaq üçün perspektivli bir model kimi müəyyən etdik” dedi Vu.
“Biz həssas neyron funksiyasını qiymətləndirmək üçün kemotaksis analizlərindən və kalsium görüntüləməsindən istifadə etdik. Xüsusi neyronlarda qocalmanı tənzimləmək üçün qocalma siqnalı yolunda əsas tənzimləyici amilləri tükəndirmək üçün auksinlə induksiya olunan sistemdən istifadə etdik.”
Təcrübələrinin bir hissəsi olaraq, Wu və həmkarları canlı dəyirmi qurdlarda müxtəlif şəraitdə glial hüceyrələrin (yəni, glial hüceyrəyə xas proteom) içərisində olan zülalları tutdular. Bundan əlavə, bu proteomun neyronların qocalmasına necə reaksiya verdiyinə baxdılar .
Sonradan tədqiqatçılar qurdların bəzi DNT/RNT-lərini dəyişdirmək üçün molekulyar biologiya üsullarından istifadə etdilər. Bu, onlara xüsusi zülalları etiketləməyə, onların mikroskop altında parıldamasını təmin etməyə və xüsusi genlərin fəaliyyətini azaltmağa və ya tamamilə susdurmağa imkan verdi.
“Tədqiqatımız, hüceyrədənkənar veziküllər vasitəsilə neyrondan qliaya protein ötürülməsinin beyin yaşlanmasını tənzimlədiyini göstərən ilk in vivo nümunəni təmsil edir” dedi Vu.
“Əlavə olaraq, istilik şoku zülallarının neyron-glia əlaqəsinə vasitəçilik etmək və glial funksiyaya təsir göstərmək üçün siqnal molekulları kimi çıxış edə biləcəyini aşkar etdik. Bu tapıntılar yeni model təklif edir və neyron-glia əlaqəsinin öyrənilməsi üçün yeni imkanlar açır.”
Bu tədqiqat qocalma zamanı beyin funksiyasının azalmasına və ya saxlanmasına kömək edə biləcək mürəkkəb sinir mexanizmləri haqqında yeni fikirlər təklif edir.
Wu və onun həmkarları tərəfindən toplanan tapıntılar istilik şoku zülallarının neyron-glia əlaqəsinə unikal töhfəsini daha dərindən araşdırmaq məqsədi daşıyan əlavə tədqiqatlara ilham verə bilər.
“Gələcək məqsədlərimdən biri beynin qocalmasında hüceyrədənkənar veziküllərin funksional əhəmiyyətini araşdırmaqdır” deyə Vu əlavə edib. “Hazırda mən tədqiqatlarımı sinir sistemindəki hüceyrədənkənar veziküllərin biologiyasını parçalamaq və beyin yaşlanmasındakı rollarını izah etmək niyyəti ilə dosent vəzifəsi axtarıram .”
Müəllifimiz İnqrid Fadelli tərəfindən sizin üçün yazılmış , Sadie Harley tərəfindən redaktə edilmiş və Robert Eqan tərəfindən yoxlanılmış və nəzərdən keçirilmiş bu məqalə diqqətli insan əməyinin nəticəsidir. Müstəqil elmi jurnalistikanı yaşatmaq üçün sizin kimi oxuculara güvənirik. Bu hesabat sizin üçün əhəmiyyət kəsb edirsə, lütfən, ianə (xüsusilə aylıq) nəzərdən keçirin. Siz təşəkkür olaraq reklamsız hesab əldə edəcəksiniz .
Daha çox məlumat: Jieyu Wu et al, İstilik şoku zülalları yaşlanma zamanı C. elegans-da neyron-glia əlaqəsinə vasitəçilik etmək üçün siqnal molekulları kimi fəaliyyət göstərir, Nature Neuroscience (2025). DOI: 10.1038/s41593-025-01989-0 .
Jurnal məlumatı: Nature Neuroscience
© 2025 Science X Network














