Tədqiqatçılar məşqdən qaynaqlanan zülalın qocalmış əzələləri və sümükləri canlandırdığını kəşf edirlər

“İdman sağlamlığınız üçün faydalıdır” çox məşhur bir ifadədir, lakin az adam bunun insan orqanizminə necə və nə üçün fayda verdiyini aydın şəkildə izah edə bilər. Birgə tədqiqat qrupu, fiziki fəaliyyətin sağlamlıq faydalarına vasitəçilik etməkdə mərkəzi rol oynayan əsas zülal olan CLCF1 (kardiotrofinə bənzər sitokin faktoru 1) kəşf etmişdir.
https://googleads.g.doubleclick.net/pagead/ads?gdpr=0&us_privacy=1—&gpp_sid=-1&client=ca-pub-0536483524803400&output=html&h=280&slotname=7587637799&adk=1434173251&adf=4198688998&pi=t.ma~as.7587637799&w=750&abgtt=6&fwrn=4&fwrnh=0&lmt=1750657233&rafmt=1&armr=3&format=750×280&url=https%3A%2F%2Fmedicalxpress.com%2Fnews%2F2025-06-protein-revives-aging-muscles-bones.html&fwr=0&rpe=1&resp_fmts=3&wgl=1&uach=WyJXaW5kb3dzIiwiMTkuMC4wIiwieDg2IiwiIiwiMTM3LjAuNzE1MS4xMDQiLG51bGwsMCxudWxsLCI2NCIsW1siR29vZ2xlIENocm9tZSIsIjEzNy4wLjcxNTEuMTA0Il0sWyJDaHJvbWl1bSIsIjEzNy4wLjcxNTEuMTA0Il0sWyJOb3QvQSlCcmFuZCIsIjI0LjAuMC4wIl1dLDBd&dt=1750657233489&bpp=1&bdt=120&idt=124&shv=r20250617&mjsv=m202506170101&ptt=9&saldr=aa&abxe=1&cookie=ID%3De77740426f8da9bc%3AT%3D1735295852%3ART%3D1750656756%3AS%3DALNI_MbHbvhLj3WydQ3lYshQhNgDg8E9nQ&gpic=UID%3D00000f80ad9e2337%3AT%3D1735295852%3ART%3D1750656756%3AS%3DALNI_MYM9zSDwUrvOLsQ-H1E20L0IjGeMw&eo_id_str=ID%3D6293460226466de5%3AT%3D1735295852%3ART%3D1750656756%3AS%3DAA-AfjalIOi2w5hht07Vbs1rPFfC&prev_fmts=0x0&nras=1&correlator=2897892126748&frm=20&pv=1&rplot=4&u_tz=240&u_his=1&u_h=1080&u_w=1920&u_ah=1032&u_aw=1920&u_cd=24&u_sd=1&dmc=8&adx=448&ady=1129&biw=1905&bih=945&scr_x=0&scr_y=0&eid=95360548%2C95353386%2C95362656%2C95364339%2C95344788%2C95359265%2C95364330%2C95364390%2C31092547&oid=2&pvsid=5617777407924076&tmod=786233052&uas=0&nvt=1&ref=https%3A%2F%2Fphys.org%2F&fc=1920&brdim=0%2C0%2C0%2C0%2C1920%2C0%2C1920%2C1032%2C1920%2C945&vis=1&rsz=%7C%7CpeEbr%7C&abl=CS&pfx=0&fu=128&bc=31&bz=1&td=1&tdf=2&psd=W251bGwsbnVsbCxudWxsLDNd&nt=1&ifi=2&uci=a!2&btvi=1&fsb=1&dtd=242
Əsər Nature Communications jurnalında dərc olunub . Komandaya Koreya Bioelm və Biotexnologiya Tədqiqat İnstitutunun (KRIBB, Prezident: Seok-Yoon Kwon) Yaşlanma Konvergensiyasının Tədqiqat Qrupundan Dr. Yong Ryoul Yang və Chonnam Milli Universitetinin professoru Nak-Sung Kim rəhbərlik edirdi.
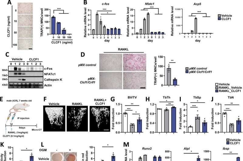
Komanda müəyyən etdi ki, CLCF1 məşq zamanı əzələlər tərəfindən ifraz olunur , burada o, həm əzələləri, həm də sümükləri gücləndirməyə kömək edir və bununla da əzələ-skelet sisteminin yaşlanmasını boğur.
CLCF1-in məşq və qocalmaya cavab olaraq necə dəyişdiyini anlamaq üçün tədqiqatçılar iştirakçıları gənc və yaşlı qruplara ayırdılar və məşqdən sonra qan CLCF1 səviyyələrindəki dəyişiklikləri izlədilər. Maraqlıdır ki, CLCF1 səviyyələri gənc qrupda bir məşq seansından sonra nəzərəçarpacaq dərəcədə artdı, halbuki yaşlı yetkinlərdə zülal yalnız 12 həftədən çox davamlı məşqdən sonra artdı.
Tədqiqat qrupunun qrup şəkli. Kredit: Koreya Tədqiqat Bioelm və Biotexnologiya İnstitutu (KRIBB)
Tədqiqat nəticələrinin ümumi diaqramı: Məşqlə əlaqəli CLCF1 yaşa bağlı əzələ və sümük itkisini bərpa edir. Kredit: Koreya Tədqiqat Bioelm və Biotexnologiya İnstitutu (KRIBB)
Tədqiqat qrupunun qrup şəkli. Kredit: Koreya Tədqiqat Bioelm və Biotexnologiya İnstitutu (KRIBB)
Tədqiqat nəticələrinin ümumi diaqramı: Məşqlə əlaqəli CLCF1 yaşa bağlı əzələ və sümük itkisini bərpa edir. Kredit: Koreya Tədqiqat Bioelm və Biotexnologiya İnstitutu (KRIBB)
Komanda yaşlı siçanlar üzərində də təcrübələr aparıb. CLCF1 yaşlı siçanlara tətbiq edildikdə, onlar əzələ gücünün yaxşılaşdığını və sümük sıxlığının artdığını göstərdilər. Bunun əksinə olaraq , CLCF1-in fəaliyyətinin bloklanması məşqi səmərəsiz etdi və bu zülalın məşqin faydalı təsiri üçün vacib olduğunu təsdiq etdi.
Əlavə təhlillər göstərdi ki, CLCF1 əzələ hüceyrələrində mitoxondrial funksiyanı gücləndirir , sümük rezorbsiya edən osteoklastların əmələ gəlməsini maneə törədir və sümük əmələ gətirən osteoblastların differensasiyasına kömək edir. Bu, qocalmış fərdlərdə məşqin effektivliyinin azalmasının əsas səbəbi kimi zülal ifrazındakı dəyişiklikləri müəyyən edən ilk elmi sübutdur.
KRIBB-dən Dr. Yang, “Bu araşdırma, idmanın yaşla daha az təsirli olmasının bioloji əsasını təmin edir və sağlam yaşlanma üçün yeni terapevtik strategiyaların işlənib hazırlanması üçün zəmin yaradır. Xüsusilə, tapıntılar yaşa bağlı sarkopeniya və osteoporozun müalicəsi üçün yeni istiqamətlər təklif edir.”
Daha çox məlumat: Jae Sook Kang və digərləri, Məşqlə əlaqəli CLCF1 siçanlarda yaşa bağlı əzələ və sümük azalmasını zəiflədir, Nature Communications (2025). DOI: 10.1038/s41467-025-59959-w
Jurnal məlumatı: Nature Communications Milli Elm və Texnologiya Tədqiqat Şurası tərəfindən təmin edilmişdir














