Araşdırma göstərir ki, Afrika pinqvinləri Cənubi Afrikada kütləvi şəkildə aclıq çəkir

Andrew Zinin tərəfindən redaktə edilib  Redaktorların qeydləriDünyada 10.000-dən az cütlük kiçik, qara və ağ Afrika pinqvinləri qalıb. Cənubi Afrika sahillərində yaşayan nəsli kəsilməkdə olan pinqvinlərin qida çatışmazlığı səbəbindən kütləvi şəkildə aclıq çəkdiyi və bəzi populyasiyaların cəmi səkkiz il ərzində 95% azaldığı bildirilir . Alimlərin fikrincə, dünyada kiçik, qara və ağ Afrika pinqvininin 10.000-dən az cütü qalıb və bu […]

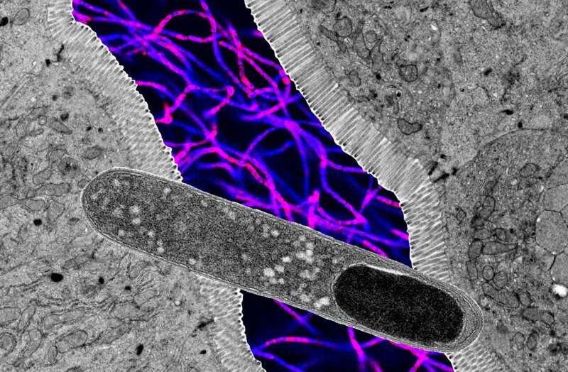
Siçanlarda çəki artımına mane olan bağırsaq bakteriyaları

Yuta Səhiyyə Elmləri Universiteti tərəfindən Sadie Harley tərəfindən redaktə edilib , Robert Egan tərəfindən nəzərdən keçirilib  Redaktorların qeydləriÇubuqşəkilli Turicibacter (ön planda), bağırsağın en kəsiyi və daha çox bakteriyanın flüoresan mikroskopiyasını (fon) göstərən mikroskop şəkillərinin kollajı. Şəkillər miqyassızdır. Müəllif: Kendra Klag, Ph.D. Bağırsaq mikrobiomu insan sağlamlığı və çəkisi ilə sıx bağlıdır. Bağırsaq mikrobiomundakı fərqlər – bağırsaqdakı bakteriya və göbələklər – […]

Tədqiqatlar göstərir ki, Yeni Qvineyalılar və Avstraliya aborigenləri 60.000 il əvvəl gəlmiş iki qrupdan törəyiblər

Haddersfild Universiteti tərəfindən Lisa Lock tərəfindən redaktə edilib , Robert Egan tərəfindən nəzərdən keçirilib  Redaktorların qeydləri60.000 il əvvəl Sahula ilk köçkünlərin köçünü göstərən xəritə. Müəllif: Helen Farr və Erich Fisher Haddersfild Universitetinin Arxeogenetika Tədqiqat Qrupu və Sauthempton Universitetinin Dəniz Arxeologiyası Mərkəzi arasında aparılan əməkdaşlıq, müasir insanların, Homo sapiens-in Yeni Qvineya və Avstraliyada ilk məskunlaşmasını aydınlaşdırdı və bununla da dənizçilik […]

Ultra soyuq atomların kvant pilləkəninə qalxması müşahidə edildi

CNR-INO tərəfindən Stephanie Baum tərəfindən redaktə edilib , Robert Egan tərəfindən nəzərdən keçirilib  Redaktorların qeydləriŞapiro addımlarını yerinə yetirən atom Cozefson qovşağı ilə əlaqəli illüstrasiya. Müəllif: Giulia Del Pace Alimlər ilk dəfə olaraq ultrasoyuq atomlarda pilləkənə bənzər kvant effekti olan ikonik Şapiro pillələrini müşahidə ediblər. Bu yaxınlarda aparılan bir təcrübədə, mütləq sıfıra yaxın soyudulmuş və son dərəcə nazik lazer […]

James Webb Kosmik Teleskopu tərəfindən çəkilən kainatın başlanğıcından gələn supernova

Dublin Universitet Kolleci tərəfindən  Redaktorların qeydləriMüəllif: Rəsm əsəri – NASA, ESA, NSF-in NOIRLab, Mark Garlick, Mehdi Zamani Beynəlxalq astronomlar qrupu, Ceyms Vebb Kosmik Teleskopundan (JWST) istifadə edərək, erkən kainatı tədqiq etməkdə ilk dəfə olaraq, misli görünməmiş bir kosmik məsafədə nəhəng bir ulduzun partlayıcı ölümü olan fövqəlnadəni aşkar etdi. GRB 250314A-da SN olaraq təyin olunan partlayış, kainatın […]

Arxeoloqlar Qvatemala Maya şəhərində unikal mozaika patolli lövhəsi aşkar ediblər

Sandee Oster tərəfindən , Phys.org Sadie Harley tərəfindən redaktə edilib , Robert Egan tərəfindən nəzərdən keçirilib  Redaktorların qeydləriOyun lövhəsinin dron şəkli. Müəllif: J. Hiquet Latın Amerikası Antikliyi jurnalında dərc olunmuş bir araşdırmada Dr. Julien Hiquet və Dr. Rémi Méreuze Qvatemalanın Naachtun şəhərində aşkar edilmiş unikal mozaika üslublu patolli oyun lövhəsinin qalıqlarını təhlil ediblər. Bu lövhə bu üslubda hazırlanmış ilk lövhədir və nisbətən köhnəlmiş sayıla […]