Maqnetizm dolduruldu: nazik filmlərdə maqnitizmi bərpa etmək üçün yeni üsul

Kompüter yaddaşı üçün müasir aşağı güc həlləri materialların maqnit xassələrinin manipulyasiyasına çox etibar edir. Bu materialların kimyəvi xassələrinin onların maqnitləşmə qabiliyyətinə təsirini başa düşmək sahənin inkişafı üçün əsas əhəmiyyət kəsb edir. Osaka Universitetində SANKEN-dən olan tədqiqatçıların rəhbərlik etdiyi Applied Physics Letters jurnalında dərc edilən bir araşdırma , deqradasiyaya uğramış spintronik cihazda maqnitliyi bərpa etmək üçün bir texnika aşkar etdi. Bu […]

Günəş sistemi vasitəsilə alovlanan üçüncü təsdiqlənmiş ulduzlararası obyekt (Yeniləmə)

Çərşənbə günü astronomlar Günəş sistemimizdə yarışan ulduzlararası obyektin kəşfini təsdiqlədilər – yalnız üçüncü dəfə tapılıb, baxmayaraq ki, elm adamları daha çoxunun gözə dəymədən keçə biləcəyindən şübhələnirlər. 3I/Atlas olaraq təyin edilmiş ulduzlardan gələn qonaq, ehtimal ki, hələ aşkar edilmiş ən böyüyüdür və kometa və ya kosmik qartopu kimi təsnif edilmişdir. Beynəlxalq Astronomiya İttifaqının Kiçik Planet Mərkəzinin astronomu, rəsmi […]

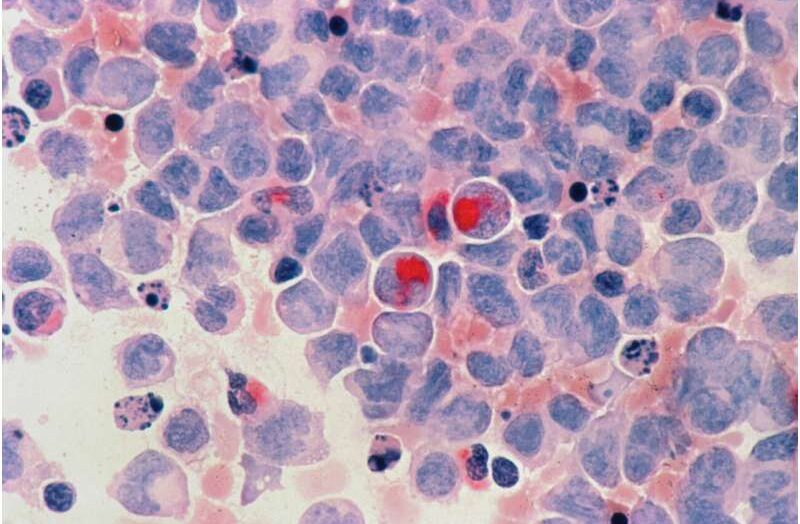
Yeni laboratoriya modelində gen mutasiyasına bağlı sağalmaz qan xərçəngi

Sağalmaz qan xərçəngi üzərində işləyən tədqiqatçılar indi potensial yeni müalicə və diaqnostika üsullarının sınaqdan keçirilməsini asan və daha sürətli edə biləcək yeni laboratoriya modelindən istifadə edə bilərlər, yeni araşdırma tapıb. https://googleads.g.doubleclick.net/pagead/ads?gdpr=0&us_privacy=1—&gpp_sid=-1&client=ca-pub-0536483524803400&output=html&h=280&slotname=7587637799&adk=1434173251&adf=4198688998&pi=t.ma~as.7587637799&w=750&abgtt=6&fwrn=4&fwrnh=0&lmt=1751606030&rafmt=1&armr=3&format=750×280&url=https%3A%2F%2Fmedicalxpress.com%2Fnews%2F2025-07-incurable-blood-cancer-gene-mutation.html&fwr=0&rpe=1&resp_fmts=3&wgl=1&uach=WyJXaW5kb3dzIiwiMTkuMC4wIiwieDg2IiwiIiwiMTM3LjAuNzE1MS4xMjAiLG51bGwsMCxudWxsLCI2NCIsW1siR29vZ2xlIENocm9tZSIsIjEzNy4wLjcxNTEuMTIwIl0sWyJDaHJvbWl1bSIsIjEzNy4wLjcxNTEuMTIwIl0sWyJOb3QvQSlCcmFuZCIsIjI0LjAuMC4wIl1dLDBd&dt=1751606030524&bpp=6&bdt=460&idt=6&shv=r20250630&mjsv=m202507010101&ptt=9&saldr=aa&abxe=1&cookie=ID%3De77740426f8da9bc%3AT%3D1735295852%3ART%3D1751605906%3AS%3DALNI_MbHbvhLj3WydQ3lYshQhNgDg8E9nQ&gpic=UID%3D00000f80ad9e2337%3AT%3D1735295852%3ART%3D1751605906%3AS%3DALNI_MYM9zSDwUrvOLsQ-H1E20L0IjGeMw&eo_id_str=ID%3Df152d1a4517561f1%3AT%3D1751526315%3ART%3D1751605906%3AS%3DAA-AfjYXsAMYxawkCSjU_EMOR4gg&prev_fmts=0x0&nras=1&correlator=1913778276652&frm=20&pv=1&rplot=4&u_tz=240&u_his=1&u_h=1080&u_w=1920&u_ah=1032&u_aw=1920&u_cd=24&u_sd=1&dmc=8&adx=448&ady=1100&biw=1905&bih=945&scr_x=0&scr_y=0&eid=31093232%2C95353387%2C95362655%2C95363278%2C95365225%2C95365235%2C95365461%2C31093299%2C95365114%2C95359265%2C95365118%2C31093116&oid=2&pvsid=4340201964605191&tmod=30142254&uas=0&nvt=1&ref=https%3A%2F%2Fphys.org%2F&fc=1920&brdim=0%2C0%2C0%2C0%2C1920%2C0%2C1920%2C1032%2C1920%2C945&vis=1&rsz=%7C%7CpeEbr%7C&abl=CS&pfx=0&fu=128&bc=31&bz=1&td=1&tdf=2&psd=W251bGwsbnVsbCxudWxsLDNd&nt=1&ifi=2&uci=a!2&btvi=1&fsb=1&dtd=10 Nature Communications -da dərc olunan məqalədə Birmingem Universitetinin rəhbərlik etdiyi tədqiqatçılar qrupu miyelodisplastik sindrom xəstəliyi (MDS) adlı qan xərçəngi olan xəstələrin qan hüceyrələrini tədqiq ediblər. Bu xəstəlik tez-tez kəskin miyeloid leykemiyanın […]

Tədqiqat göstərir ki, ekstremal hava və fəlakətlər yaşamaq iqlim fəaliyyətinə baxışları dəyişdirmək üçün kifayət deyil

İqlim dəyişikliyi son illərdə meşə yanğınları və daşqınlar kimi ekstremal hava hadisələrini daha tez-tez və daha çox edib və bu tendensiyanın davam edəcəyi gözlənilir . Bu hadisələr insan və heyvanların ölümünə, fiziki və ruhi sağlamlığa, mülklərə və infrastruktura ziyan vurub . Bu hadisələrin ilkin təcrübəsi insanların iqlim dəyişikliyi ilə bağlı düşüncələrini və hərəkətlərini dəyişdirərək , onu uzaq və ya gələcək problem deyil, dərhal və yerli kimi göstərəcəkmi ? İndiyə qədər aparılan araşdırmalar qarışıq bir mənzərə […]

Neyrokomputasiya tədqiqatı beynin danışıq məzmununu necə təşkil etdiyinə işıq salır

Söhbət insanlara öz düşüncələrini, hisslərini və fikirlərini başqalarına çatdırmağa imkan verir. Bu, öz növbəsində onlara yeni şeylər öyrənməyə, sosial əlaqələrini dərinləşdirməyə və konkret vəzifələri həll etmək üçün həmyaşıdları ilə əməkdaşlıq etməyə imkan verir. https://googleads.g.doubleclick.net/pagead/ads?gdpr=0&us_privacy=1—&gpp_sid=-1&client=ca-pub-0536483524803400&output=html&h=280&slotname=7587637799&adk=1434173251&adf=4198688998&pi=t.ma~as.7587637799&w=750&abgtt=6&fwrn=4&fwrnh=0&lmt=1751605897&rafmt=1&armr=3&format=750×280&url=https%3A%2F%2Fmedicalxpress.com%2Fnews%2F2025-06-neurocomputational-brain-conversational-content.html&fwr=0&rpe=1&resp_fmts=3&wgl=1&uach=WyJXaW5kb3dzIiwiMTkuMC4wIiwieDg2IiwiIiwiMTM3LjAuNzE1MS4xMjAiLG51bGwsMCxudWxsLCI2NCIsW1siR29vZ2xlIENocm9tZSIsIjEzNy4wLjcxNTEuMTIwIl0sWyJDaHJvbWl1bSIsIjEzNy4wLjcxNTEuMTIwIl0sWyJOb3QvQSlCcmFuZCIsIjI0LjAuMC4wIl1dLDBd&dt=1751605897468&bpp=2&bdt=122&idt=178&shv=r20250630&mjsv=m202507010101&ptt=9&saldr=aa&abxe=1&cookie=ID%3De77740426f8da9bc%3AT%3D1735295852%3ART%3D1751605597%3AS%3DALNI_MbHbvhLj3WydQ3lYshQhNgDg8E9nQ&gpic=UID%3D00000f80ad9e2337%3AT%3D1735295852%3ART%3D1751605597%3AS%3DALNI_MYM9zSDwUrvOLsQ-H1E20L0IjGeMw&eo_id_str=ID%3Df152d1a4517561f1%3AT%3D1751526315%3ART%3D1751605597%3AS%3DAA-AfjYXsAMYxawkCSjU_EMOR4gg&prev_fmts=0x0&nras=1&correlator=3010200733317&frm=20&pv=1&rplot=4&u_tz=240&u_his=1&u_h=1080&u_w=1920&u_ah=1032&u_aw=1920&u_cd=24&u_sd=1&dmc=8&adx=448&ady=904&biw=1905&bih=945&scr_x=0&scr_y=0&eid=95353386%2C95362655%2C95365226%2C31093299%2C95365108%2C95359265%2C95365116%2C31093116&oid=2&pvsid=2147855620383154&tmod=30142254&uas=0&nvt=1&ref=https%3A%2F%2Fphys.org%2F&fc=1920&brdim=0%2C0%2C0%2C0%2C1920%2C0%2C1920%2C1032%2C1920%2C945&vis=2&rsz=%7C%7CpeEr%7C&abl=CS&pfx=0&fu=128&bc=31&bz=1&td=1&tdf=2&psd=W251bGwsbnVsbCxudWxsLDNd&nt=1&ifi=2&uci=a!2&fsb=1&dtd=184 İnsan beyninin söhbət zamanı deyilənləri necə mənalandırdığını başa düşmək beyindən ilham alan hesablama modellərinin inkişafına məlumat verə bilər. Əksinə, ChatGPT kimi […]

Yeni bir dərman sinir toxumasının işıq yaymasına səbəb olur və bu, daha sürətli və təhlükəsiz əməliyyata imkan verir

Cərrahlar şişi çıxarmaq və ya təmir etmək üçün toxuma parçalayanda sinirləri kəsməmək üçün elektrofizik monitorlara və öz anatomik biliklərinə güvənərək ehtiyatla işləməlidirlər ki, bu da xəstənin sağalmasını çətinləşdirə bilər. https://googleads.g.doubleclick.net/pagead/ads?gdpr=0&us_privacy=1—&gpp_sid=-1&client=ca-pub-0536483524803400&output=html&h=280&slotname=7587637799&adk=1434173251&adf=4198688998&pi=t.ma~as.7587637799&w=750&abgtt=6&fwrn=4&fwrnh=0&lmt=1751605841&rafmt=1&armr=3&format=750×280&url=https%3A%2F%2Fmedicalxpress.com%2Fnews%2F2025-07-drug-nerve-tissue-emit-enabling.html&fwr=0&rpe=1&resp_fmts=3&wgl=1&uach=WyJXaW5kb3dzIiwiMTkuMC4wIiwieDg2IiwiIiwiMTM3LjAuNzE1MS4xMjAiLG51bGwsMCxudWxsLCI2NCIsW1siR29vZ2xlIENocm9tZSIsIjEzNy4wLjcxNTEuMTIwIl0sWyJDaHJvbWl1bSIsIjEzNy4wLjcxNTEuMTIwIl0sWyJOb3QvQSlCcmFuZCIsIjI0LjAuMC4wIl1dLDBd&dt=1751605839691&bpp=1&bdt=222&idt=180&shv=r20250630&mjsv=m202507010101&ptt=9&saldr=aa&abxe=1&cookie=ID%3De77740426f8da9bc%3AT%3D1735295852%3ART%3D1751605597%3AS%3DALNI_MbHbvhLj3WydQ3lYshQhNgDg8E9nQ&gpic=UID%3D00000f80ad9e2337%3AT%3D1735295852%3ART%3D1751605597%3AS%3DALNI_MYM9zSDwUrvOLsQ-H1E20L0IjGeMw&eo_id_str=ID%3Df152d1a4517561f1%3AT%3D1751526315%3ART%3D1751605597%3AS%3DAA-AfjYXsAMYxawkCSjU_EMOR4gg&prev_fmts=0x0%2C336x280&nras=1&correlator=1346918868068&frm=20&pv=1&rplot=4&u_tz=240&u_his=1&u_h=1080&u_w=1920&u_ah=1032&u_aw=1920&u_cd=24&u_sd=1&dmc=8&adx=448&ady=880&biw=1905&bih=945&scr_x=0&scr_y=0&eid=31093234%2C95353387%2C95362656%2C95363182%2C95365226%2C31093299%2C95365114%2C95359266%2C95365116%2C31093116&oid=2&psts=AOrYGsk5akDMXuTL3iv1zCvHoc-atES55wLgI5RlVoxv8C1otK27tO3lbXsZpa1YoknMlRIjReqOLLfWhYqUPBhTlOwFoA&pvsid=4850569136712608&tmod=30142254&uas=0&nvt=1&ref=https%3A%2F%2Fphys.org%2F&fc=1920&brdim=0%2C0%2C0%2C0%2C1920%2C0%2C1920%2C1032%2C1920%2C945&vis=1&rsz=%7C%7CpeE%7C&abl=CS&pfx=0&fu=128&bc=31&bz=1&td=1&tdf=2&psd=W251bGwsbnVsbCxudWxsLDNd&nt=1&ifi=2&uci=a!2&fsb=1&dtd=2059 Nyu Meksiko Universitetinin cərrahı sinir toxumasına bağlanan və flüoresan (işıq yayan) cərrahlara işləməyə çalışdıqları əsəbləri daha yaxşı görməyə imkan verən ilk növ dərmanın hazırlanmasına və […]

AI radioaktiv yod çirklənməsini aradan qaldırmaq üçün optimal yeni materialı kəşf etməyə kömək edir

Radioaktiv tullantıların idarə edilməsi nüvə enerjisindən istifadənin əsas problemlərindən biridir. Xüsusilə, radioaktiv yod uzun yarı ömrü (I-129 halda 15,7 milyon il), yüksək hərəkətliliyi və canlı orqanizmlər üçün toksikliyi səbəbindən ciddi ətraf mühit və sağlamlıq riskləri yaradır. Koreyalı tədqiqat qrupu nüvə mühitinin bərpası üçün yodu çıxara bilən yeni material kəşf etmək üçün süni intellektdən uğurla istifadə […]

T hüceyrələri Çikungunya virusunu hədəf alır

Bu yaxınlarda Nature Communications -da nəşr olunan yeni bir araşdırma , Çikungunya virusunun hansı hissələrinin bədənin T hüceyrələrindən ən güclü reaksiyaya səbəb olduğunu göstərən ilk xəritəni təqdim edir. https://googleads.g.doubleclick.net/pagead/ads?gdpr=0&us_privacy=1—&gpp_sid=-1&client=ca-pub-0536483524803400&output=html&h=280&slotname=7587637799&adk=1434173251&adf=4198688998&pi=t.ma~as.7587637799&w=750&abgtt=6&fwrn=4&fwrnh=0&lmt=1751605706&rafmt=1&armr=3&format=750×280&url=https%3A%2F%2Fmedicalxpress.com%2Fnews%2F2025-07-cells-aim-chikungunya-virus.html&fwr=0&rpe=1&resp_fmts=3&wgl=1&uach=WyJXaW5kb3dzIiwiMTkuMC4wIiwieDg2IiwiIiwiMTM3LjAuNzE1MS4xMjAiLG51bGwsMCxudWxsLCI2NCIsW1siR29vZ2xlIENocm9tZSIsIjEzNy4wLjcxNTEuMTIwIl0sWyJDaHJvbWl1bSIsIjEzNy4wLjcxNTEuMTIwIl0sWyJOb3QvQSlCcmFuZCIsIjI0LjAuMC4wIl1dLDBd&dt=1751605706365&bpp=1&bdt=200&idt=83&shv=r20250630&mjsv=m202507010101&ptt=9&saldr=aa&abxe=1&cookie=ID%3De77740426f8da9bc%3AT%3D1735295852%3ART%3D1751605597%3AS%3DALNI_MbHbvhLj3WydQ3lYshQhNgDg8E9nQ&gpic=UID%3D00000f80ad9e2337%3AT%3D1735295852%3ART%3D1751605597%3AS%3DALNI_MYM9zSDwUrvOLsQ-H1E20L0IjGeMw&eo_id_str=ID%3Df152d1a4517561f1%3AT%3D1751526315%3ART%3D1751605597%3AS%3DAA-AfjYXsAMYxawkCSjU_EMOR4gg&prev_fmts=0x0&nras=1&correlator=3123514775491&frm=20&pv=1&rplot=4&u_tz=240&u_his=1&u_h=1080&u_w=1920&u_ah=1032&u_aw=1920&u_cd=24&u_sd=1&dmc=8&adx=448&ady=1060&biw=1905&bih=945&scr_x=0&scr_y=0&eid=31093040%2C31093232%2C95353387%2C95362655%2C95365226%2C95365235%2C31093299%2C95344790%2C95359265%2C95365122%2C31093116&oid=2&pvsid=2660369550392930&tmod=30142254&uas=0&nvt=1&ref=https%3A%2F%2Fphys.org%2F&fc=1920&brdim=0%2C0%2C0%2C0%2C1920%2C0%2C1920%2C1032%2C1920%2C945&vis=1&rsz=%7C%7CpeEbr%7C&abl=CS&pfx=0&fu=128&bc=31&bz=1&td=1&tdf=2&psd=W251bGwsbnVsbCxudWxsLDNd&nt=1&ifi=2&uci=a!2&btvi=1&fsb=1&dtd=210 Əlindəki bu xəritə ilə tədqiqatçılar infeksiyanı dayandırmaq üçün T hüceyrələrini xüsusi hədəflərə və ya “epitoplara” vurmaq üçün istifadə edən Çikungunya peyvəndi və ya müalicələrini inkişaf etdirməyə daha yaxındırlar. Yeni araşdırma, […]

Psixoloqların fikrincə, qeyri-müəyyənlik – təkcə sosial kontekst deyil – biz başqalarının “ağlını oxuyanda” beyin fəaliyyətini sürətləndirir.

Təsəvvür edin ki, bir dostunuzla onun etdiyi təhqiramiz şərhlə üzləşmək üzrəsiniz və onun cavabını proqnozlaşdırmağa çalışırsınız. Dostunuz haqqında bildiklərindən asılı olaraq, onun haradan gəldiyinizi anlayacağını və üzr istəyəcəyini, müdafiə olunacağını və ya sizi tənqid edərək cavab verəcəyini düşünə bilərsiniz. https://googleads.g.doubleclick.net/pagead/ads?gdpr=0&us_privacy=1—&gpp_sid=-1&client=ca-pub-0536483524803400&output=html&h=280&slotname=7587637799&adk=1434173251&adf=4198688998&pi=t.ma~as.7587637799&w=750&abgtt=6&fwrn=4&fwrnh=0&lmt=1751605598&rafmt=1&armr=3&format=750×280&url=https%3A%2F%2Fmedicalxpress.com%2Fnews%2F2025-07-uncertainty-social-context-brain-minds.html&fwr=0&rpe=1&resp_fmts=3&wgl=1&uach=WyJXaW5kb3dzIiwiMTkuMC4wIiwieDg2IiwiIiwiMTM3LjAuNzE1MS4xMjAiLG51bGwsMCxudWxsLCI2NCIsW1siR29vZ2xlIENocm9tZSIsIjEzNy4wLjcxNTEuMTIwIl0sWyJDaHJvbWl1bSIsIjEzNy4wLjcxNTEuMTIwIl0sWyJOb3QvQSlCcmFuZCIsIjI0LjAuMC4wIl1dLDBd&dt=1751605598062&bpp=2&bdt=2227&idt=605&shv=r20250630&mjsv=m202507010101&ptt=9&saldr=aa&abxe=1&cookie=ID%3De77740426f8da9bc%3AT%3D1735295852%3ART%3D1751527390%3AS%3DALNI_MbHbvhLj3WydQ3lYshQhNgDg8E9nQ&gpic=UID%3D00000f80ad9e2337%3AT%3D1735295852%3ART%3D1751527390%3AS%3DALNI_MYM9zSDwUrvOLsQ-H1E20L0IjGeMw&eo_id_str=ID%3Df152d1a4517561f1%3AT%3D1751526315%3ART%3D1751527391%3AS%3DAA-AfjYXsAMYxawkCSjU_EMOR4gg&prev_fmts=0x0&nras=1&correlator=7933613356684&frm=20&pv=1&rplot=4&u_tz=240&u_his=1&u_h=1080&u_w=1920&u_ah=1032&u_aw=1920&u_cd=24&u_sd=1&dmc=8&adx=448&ady=1170&biw=1905&bih=945&scr_x=0&scr_y=0&eid=31093234%2C95353387%2C95362656%2C95363800%2C95365225%2C95359265%2C31093299%2C95365114%2C95365120%2C31092547%2C31093116&oid=2&pvsid=1186737763025934&tmod=30142254&uas=0&nvt=1&ref=https%3A%2F%2Fphys.org%2F&fc=1920&brdim=0%2C0%2C0%2C0%2C1920%2C0%2C1920%2C1032%2C1920%2C945&vis=1&rsz=%7C%7CpeEbr%7C&abl=CS&pfx=0&fu=128&bc=31&bz=1&td=1&tdf=2&psd=W251bGwsbnVsbCxudWxsLDNd&nt=1&ifi=2&uci=a!2&btvi=1&fsb=1&dtd=611 Digər insanların inanclarını, niyyətlərini və emosiyalarını təxmin etməyə çalışmaq prosesi zehniləşdirmə kimi tanınır və dorsal […]

Kvant maşın öyrənməsi ilk dəfə yarımkeçirici istehsalını təkmilləşdirir

Yarımkeçiricilərin emalı çox çətin məsələdir. Tələb olunan hədsiz dəqiqliyə və hətta tək bir çipi düzəltmək üçün aşındırma və təbəqələmə kimi yüzlərlə addıma görə müasir mühəndisliyin ən mürəkkəb bacarıqlarından biridir. Bununla belə, dünyada ilk dəfə olaraq, Avstraliyanın milli tədqiqat agentliyi olan Birlik Elmi və Sənaye Tədqiqat Təşkilatının (CSIRO) tədqiqatçıları yarımkeçiricilər hazırlamaq üçün kvant maşın öyrənməsindən istifadə etdilər. Onların araşdırmaları […]