Universal, istifadəyə hazır immunoterapiya, klinikayaqədərki testlərdə endometrial xərçəngi aşkarlayır və məhv edir
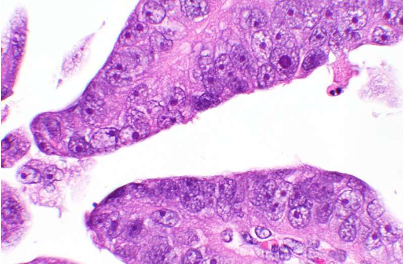
Linda Vanq, Kaliforniya Universiteti, Los-Anceles tərəfindən redaktə edən: Gaby Clark , rəy verən: Robert Egan Redaktorların qeydləri GIST Tercih edilən mənbə kimi əlavə edin Endometrial xərçəngin aqressiv bir alt növü olan uşaqlıq papiller seroz karsinomasının mikroskopiya görüntüsü. Müəllif: Neda Moatamed/Sanaz Memarzadeh Laboratoriyası Endometrial xərçəng ABŞ-da ən çox yayılmış ginekoloji xərçəng növüdür və son bir neçə onillikdə sağ qalma nisbətinin […]












