Sinir fəaliyyəti dövrə əlaqələrinin optimal siqnal ötürücülərinə çevrilməsinə kömək edir

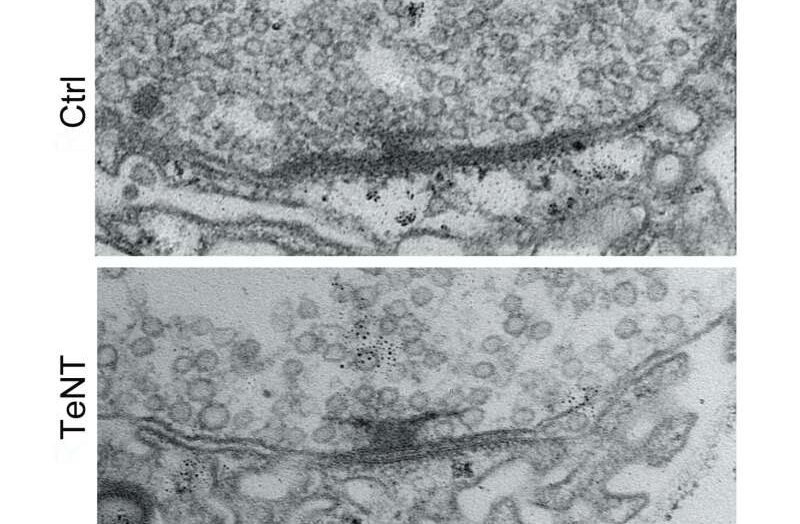
Massaçusets Texnologiya İnstitutu tərəfindən Stefani Baum tərəfindən redaktə edilmiş , Robert Eqan tərəfindən nəzərdən keçirilmişdir  Redaktorların qeydləriKağızdakı rəqəmin təfərrüatı neyron (yuxarıda) və əzələ (aşağıda) dar yarıq arasında əmələ gələn sinapsları göstərir. Fərqli T-bar forması aktiv zonanı göstərir. Yuxarıdakı şəkildə sinaps normal inkişaf etmişdir. Aşağıdakı şəkildə tədqiqatçılar sinapsın fəaliyyətini pozublar. Nəticədə aktiv zona xeyli böyüdü (hər iki şəkil eyni miqyasdadır). […]

Orqan transplantasiyası üçün genişlənmək üçün qan damarlarının hüceyrələrini galvanizasiya etmək

Weill Cornell Tibb Kolleci tərəfindən Gaby Clark tərəfindən redaktə edilmiş , Robert Eqan tərəfindən nəzərdən keçirilmişdir  Redaktorların qeydləriPiy toxumasından insan endotel hüceyrələri mədəniyyətdə genişləndirildikdən və immun çatışmazlığı olan alıcı siçanlara köçürüldükdən sonra yuxarıda təsvir olunan qan damarları əmələ gəlib. Kredit: Dr. Yang Lin Weill Corll Medicine tədqiqatçıları ilə birlikdə klinika əvvəli araşdırmaya görə, elm adamları kiçik bir biopsiyadan insan […]

Materialların keyfiyyətini yoxlamaq yeni AI aləti ilə daha asan oldu

Jennifer Chu, Massaçusets Texnologiya İnstitutu Lisa Lock tərəfindən redaktə edilmiş , Robert Eqan tərəfindən nəzərdən keçirilmişdir  Redaktorların qeydləriÇipli dairə SpectroGen-i simvollaşdırır, birləşdirici iplər materialın spektrinin yaradılması prosesini təsvir edir. Kredit: Massaçusets Texnologiya İnstitutu Daha yaxşı batareyalar, daha sürətli elektronika və daha effektiv dərman vasitələrinin istehsalı yeni materialların kəşfindən və onların keyfiyyətinin yoxlanılmasından asılıdır. Süni intellekt, perspektivli namizədləri tez bir […]

Lazerlə tənzimlənən polimer səthi elektrik enerjisi sərf etmədən soyutma və qızdırma rejimləri arasında keçid edir

Seul Milli Universiteti tərəfindən Gaby Clark tərəfindən redaktə edilmiş , Robert Eqan tərəfindən nəzərdən keçirilmişdir  Redaktorların qeydləri(Solda) Lazer emalından istifadə edərək tək material əsaslı emal texnologiyasının konseptual diaqramı (Mərkəz) Emal edilmiş materialın radiasiyalı soyudulması və ya günəş enerjisi ilə qızdırılması funksiyasını təsvir edən sxematik (Sağda) Hazırlanmış ağ və qara məsaməli materialların faktiki fotoşəkilləri və SEM şəkilləri. Kredit: Joule Seul […]

Qədim gəmi qəzaları Dəmir dövrü ticarətinin hekayəsini yenidən yazır

Phoebe Skok tərəfindən, Kaliforniya Universiteti – San Dieqo Lisa Lock tərəfindən redaktə edilmiş , Robert Eqan tərəfindən nəzərdən keçirilmişdir  Redaktorların qeydləriKağızın həmmüəllifi UC San Diego professoru Tomas Levinin sözlərinə görə, burada göstərilən üç kameralı fotoqrammetriya qurğusu kimi yeni texnologiyalar sualtı arxeologiyaya mühüm töhfələr verir. Kredit: Amir Yurman, Hayfa Universiteti San Dieqo Kaliforniya Universiteti və Hayfa Universitetləri tərəfindən aparılan yeni […]

Tədqiqatçılar davamlı dərman inkişafı üçün ‘yaşıl’ çərçivəyə öncülük edirlər

Jan Joost Aten, Leiden Universiteti Lisa Lock tərəfindən redaktə edilmiş , Robert Eqan tərəfindən nəzərdən keçirilmişdir  Redaktorların qeydləriKredit: Unsplash/CC0 Public Domain Tibbi dərmanların hazırlanması bahalıdır və ətraf mühitə mənfi təsir göstərə bilər. Tədqiqatçılar Stefano Cucurachi və Justin Lian səhiyyə sisteminə tibbi birləşmələrin iqtisadi və ekoloji davamlılığını qiymətləndirməyə kömək etmək üçün çərçivə hazırlayıblar. Tədqiqat “Proceedings of the National Academy of Sciences” jurnalında dərc […]

Böyük kohort tədqiqatı allergik riniti görmə təhlükəsi yaradan optik nevrit riski ilə əlaqələndirir

Justin Jackson tərəfindən , Phys.org Sadie Harley tərəfindən redaktə edilmiş , Robert Eqan tərəfindən nəzərdən keçirilmişdir  Redaktorların qeydləriKredit: Unsplash/CC0 Public Domain Koreyadakı Sungkyunkwan Universitetinin tədqiqatçıları allergik xəstəlikləri artan optik nevrit riski ilə əlaqələndirən ümummilli kohort təhlili apardılar və allergik rinit ən güclü əlaqəni göstərdi. https://googleads.g.doubleclick.net/pagead/ads?gdpr=0&us_privacy=1—&gpp_sid=-1&client=ca-pub-0536483524803400&output=html&h=280&slotname=7587637799&adk=173579997&adf=4198688998&pi=t.ma~as.7587637799&w=540&fwrn=4&fwrnh=0&lmt=1760518625&rafmt=1&armr=3&format=540×280&url=https%3A%2F%2Fmedicalxpress.com%2Fnews%2F2025-10-large-cohort-links-allergic-rhinitis.html&fwr=0&rpe=1&resp_fmts=3&wgl=1&aieuf=1&uach=WyJXaW5kb3dzIiwiMTkuMC4wIiwieDg2IiwiIiwiMTQxLjAuNzM5MC43NiIsbnVsbCwwLG51bGwsIjY0IixbWyJHb29nbGUgQ2hyb21lIiwiMTQxLjAuNzM5MC43NiJdLFsiTm90P0FfQnJhbmQiLCI4LjAuMC4wIl0sWyJDaHJvbWl1bSIsIjE0MS4wLjczOTAuNzYiXV0sMF0.&abgtt=6&dt=1760518621130&bpp=2&bdt=430&idt=720&shv=r20251009&mjsv=m202510090101&ptt=9&saldr=aa&abxe=1&cookie=ID%3Dbf32f6d1345076e5%3AT%3D1735905671%3ART%3D1760518431%3AS%3DALNI_MZkf89jy5OWC7eurAieiZICGZibxQ&gpic=UID%3D00000f9074cd1467%3AT%3D1735905671%3ART%3D1760518431%3AS%3DALNI_MbXA7UjcCbicksfQOQL3jad5e72cw&eo_id_str=ID%3D11f3f8901ed8a01f%3AT%3D1759147287%3ART%3D1760518431%3AS%3DAA-AfjaTZmixph3AhAi9NchqfV-P&prev_fmts=0x0%2C336x280&nras=1&correlator=1512689804542&frm=20&pv=1&rplot=4&u_tz=240&u_his=1&u_h=864&u_w=1536&u_ah=816&u_aw=1536&u_cd=24&u_sd=1.25&dmc=8&adx=395&ady=984&biw=1521&bih=730&scr_x=0&scr_y=0&eid=31095210%2C31095217%2C95373013%2C95374047%2C95374741&oid=2&psts=AOrYGsnmmbGspPl2f3ogoH46G2qdkY0IQe1qkIwwG-VO_t5b-GAP5VrG4ah0vxJ-3dhGhmQvzDN9DI7vL_nll8JP3bNEX9ni9w2tm_Pztp0&pvsid=6495433916663620&tmod=1443205217&uas=0&nvt=1&ref=https%3A%2F%2Fphys.org%2F&fc=1920&brdim=0%2C0%2C0%2C0%2C1536%2C0%2C1536%2C816%2C1536%2C730&vis=1&rsz=%7C%7CpeEbr%7C&abl=CS&pfx=0&fu=128&bc=31&bz=1&td=1&tdf=2&psd=W251bGwsbnVsbCxudWxsLDNd&nt=1&ifi=2&uci=a!2&btvi=1&fsb=1&dtd=4194 Optik nevrit kəskin və ya yarımkəskin görmə itkisinə, göz ağrısına və rəng ayrı-seçkiliyinin azalmasına səbəb olan , 100.000 adam-ildə 3,7 hadisə ilə […]

Tam potensialını açan “parolları” tapmaq üçün CRISPR kodunu sındırmaq

Honq Konq Şəhər Universiteti tərəfindən Gaby Clark tərəfindən redaktə edilmiş , Robert Eqan tərəfindən nəzərdən keçirilmişdir  Redaktorların qeydləriCRISPR (= Kümələnmiş Müntəzəm Aralıqlı Qısa Palindromik Təkrarlar) + DNT fraqmenti, E.Coli. Kredit: Mulepati, S., Bailey, S.; Astrojan/Vikipediya/ CC BY 3.0 Ən müasir tibbdə ən inqilabi vasitələrdən biri o qədər dəqiq olan molekulyar neştərdir ki, o, qüsurlu DNT-ni dəyişdirə və oraqvari hüceyrəli […]

Kiçik bir molekul antibiotik müalicəsinin uğursuzluğu ilə mübarizə aparmağa kömək edə bilər

Kendall Daniels Rovinsky, Şimali Karolina Universiteti Chapel Hill Tibb Məktəbində Stefani Baum tərəfindən redaktə edilmişdir , Andrew Zinin tərəfindən nəzərdən keçirilmişdir  Redaktorların qeydləriS. aureusun luminescent ştammı ilə yoluxmuş və hüceyrədə yaşamayan digər bakteriyaları çıxarmaq üçün gentamisinlə müalicə olunan immun hüceyrələr. Kredit: Təbiət Mikrobiologiyası (2025). DOI: 10.1038/s41564-025-02124-2 1940-cı illərdən bəri antibiotiklər zərərli bakterial infeksiyalara qarşı əsas silahımız olmuşdur. Ancaq Staphylococcus aureus kimi […]

Təhlil göstərir ki, sənədsiz immiqrantlar üçün Medicaid xərclərinin 1%-nin altındadır

Justin Jackson tərəfindən , Phys.org Sadie Harley tərəfindən redaktə edilmiş , Robert Eqan tərəfindən nəzərdən keçirilmişdir  Redaktorların qeydləriKredit: Pexels-dən RDNE Fond layihəsi Emory Universiteti, Lown İnstitutu, Kolorado Universiteti Anschutz Tibb Kampusu və Harvard TH Chan İctimai Səhiyyə Məktəbi ilə əlaqədar səlahiyyətlilər bildirirlər ki, təcili Medicaid 202-ci ildə dövlət Medicaid üçün yalnız kiçik bir nümayəndəlik iştirak edir və daha yüksək xərclər […]